العين برس – صحة
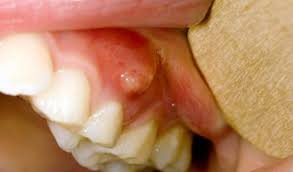
يعاني الكثير من الأشخاص من التهاب اللثة، وبدلاً من الإفراط في المسكنات يمكن اللجوء لبعض الوسائل الطبيعية إلى حين زيارة الطبيب في أقرب وقت.
غسول الفم من أوراق الجوافة:
وجدت دراسات وأبحاث علمية مختلفة أن غسول الفم المصنوع من أوراق الجوافة قادر على التحكم بـ”البلاك” نظراً لخصائصه المضادة للبكتيريا، بحسب ما نشر موقع “ويب طب”.
المضمضة بالماء المالح:
ينصح موقع “هيلث لاين” الأمريكي بمضمضة الفم بالمياه المالحة مرتين يوميا، من خلال إذابة ملعقة ملح بكوب ماء دافئ. مع التأكيد على ضرورة عدم ابتلاع المحلول بعد المضمضة وإنما القيام ببصقه خارج الفم لأنه يحتوي على البكتيريا المتسببة بالالتهاب.
دهن اللثة بالزيت:
يذكر موقع “ويب طب” باللغة العربية، أن دهن اللثة بزيت جوز الهند أو اللوز لمدة 30 دقيقة، ومن ثم تنظيف الفم بالماء، قد يساعد على التقليل من التهاب اللثة. وبالطبع مرة أخرى يجب بصقه وليس بلعه.
الشاي:
بإمكانك أن تنقع كيس شاي أسود في مياه مغلية لمدة 5 دقائق، وحينما يبرد الكيس ضعه على لثتك الملتهبة لنحو 5 دقائق، ويؤكد موقع “هيلث لاين” أنه بالإمكان استخدام الشاي الأخضر أو الكركديه أو الزنجبيل والبابونج.
الألوفيرا:
أثبتت “الألوفيرا”، أو نبتة الصبار، أنها علاج فعال للخدوش والحروق، ولكن كما يبدو فهي مفيدة أيضاً للثة، إذ أظهرت أبحاث أن معجون أسنان الألوفيرا كانت بنفس فعالية المعاجين التجارية المخصصة لتقليل بكتيريا اللثة، كما يذكر موقع “غارديان إن دايركت” الأمريكي.
